
O que é um implante dentário?
O implante dentário é o tratamento mais moderno e atual para recuperar definitivamente dentes que foram perdidos. Os implantes são feitos em titânio para substituir desde um dente até
o protocolo reabilitando toda a arcada (superior e inferior). Após a realização dos implantes,
são colocadas as próteses que substituem as coroas dos dentes.
O tratamento é indicado nos casos em que o paciente já perdeu o dente ou quando esse dente não apresenta condições de ser recuperado e precisa ser extraído. A ausência de um ou mais dentes além de desfavorecer a estética do sorriso, compromete a função mastigatória, causando problemas de mordida e o aparecimento de outras disfunções. Portanto, é fundamental realizar
o tratamento o mais rápido possível. Dentre todas as alternativas reabilitadoras existentes,
o implante é a melhor opção para recuperar dentes perdidos de forma definitiva.
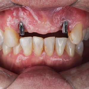
Casos de implantes na Fibonacci
Como é a recuperação?
A recuperação normalmente não envolve dores e permite que o paciente retome suas atividades em pouco tempo. Todas as orientações são dadas ao paciente durante a avaliação e planejamento da cirurgia. Novas técnicas e tecnologias permitem que ofereçamos uma experiência confortável da cirurgia à recuperação.


"Dr. Tiago para mim é um anjo. Fiz um procedimento de próteses totais sobre implantes, foi a melhor escolha que eu poderia ter feito. Profissional competente, íntegro, tudo de bom! Nota 1000!"

Quer saber mais?
Fale com a gente
SRTVN qd 702 ed. Brasília Rádio Center, sl. 1125
Asa Norte, Brasília-DF. CEP: 70719-900
Seg - Sex | 08:00 - 18:00

























